Síndrome del Biberón

¡Cuidado, el biberón puede causar daños

El síndrome del Biberón o Caries en Edad Temprana

El síndrome del Biberón o Caries en Edad Temprana es el cariado rápido de los dientes primarios o de leche en los bebés o en los niños con exposición frecuente a largos periodos de tiempo a líquidos azucarados.

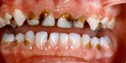
Dientes anteriores

Síndrome del Biberón. Dientes anteriores son los mas afectados. Clínica Dental San Pedro, Marbella.

Dientes anteriores son los mas afectados. El problema es causado usualmente cuando el bebé se duerme mientras toma biberones.

Cuando el bebe se duerme, los líquidos azucarados se acumulan alrededor de los dientes y las bacterias que viven normalmente en la boca transforman estos azucares en ácido, el cuál produce lesiones cariosas.

Azúcar

Síndrome del Biberón. Liquidos más comunes de alto contenido de azúcar. Clínica Dental San Pedro, Marbella.

Los liquidos más comunes de alto contenido de azúcar:

  • Un biberón que contenga leche o zumos.
  • Los chupetes con miel o azúcar.

Prevenir

Cómo prevenir el Síndrome del Biberón. Clínica Dental San Pedro, Marbella.

¿Cómo prevenir el Sindrome del Biberón?

  • Limpiarle los dientes de su hijo/a diariamente.
  • No permita que su hijo/a se duerma mientras toma el biberon con leche o zumo.
  • Dele a su hijo/a agua fresca cuando tenga sed.
  • Asegúrese que su hijo/a tenga aplicaciones de flúor para prevenir caries.
  • Haga su citas dentales para su hijo/a tan pronto erupcionen sus primeros dientes primarios.