Kaputte Zähne werden oftmals zu schnell gezogen!
Beschädigte Zähne, etwa bei fortschreitender Karies oder auch wenn ein Stück des Zahnes abgebrochen ist können restauriert werden.
Unser Ziel ist es Funktion und Ästhetik optimal wiederherzustellen. Im Mittelpunkt der Behandlung steht bei uns der Zahnerhalt. Die Zahnmedizin bietet mittlerweile zahlreiche Möglichkeiten der Zahnrestauration. Dabei können verschiedene Füllmaterialien verwendet werden, aber auch unterschiedliche Techniken zum Einsatz kommen.

Mit Füllmaterialien können wir einzelne Zähne völlig metallfrei und substanzschonend restaurieren und gestalten, so dass sie bei vollwertiger Funktion nach der Behandlung natürlich und unversehrt wirken.
Kompositfüllung
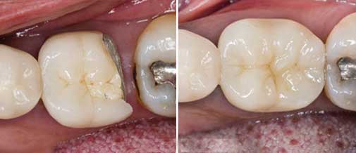
Komposit oder Kunststofffüllung ist ein weisses Füllungsmaterial aus Glas und Kunststoff. Weisse Füllungen sind langlebig und ästhetisch. Sie haben keine Randspalten. Die Füllungsränder bleiben weiss. Die heutigen Komposits sind etwa gleich hart wie natürliche Zähne. Deshalb ist es möglich, statt nur einen Kompositaufbau gleich eine ganze Kompositkrone zu modellieren.
Mit Komposit kann man nahezu jeden Zahnschaden beheben. Eine sorgfältige Vorsanierung sowie die Verwendung biokompatibler, hochwertiger Materialien bestimmen die Qualität und die Dauer der Haltbarkeit.
Oft werden nicht alle Behandlungsmethoden ausgeschöpft und kaputte Zähne werden oftmals zu schnell gezogen (Zahnextraktion). Dauerhafte Lücken aber beeinflussen neben dem Aussehen sowohl die Kaufunktion, als auch das Sprachvermögen negativ und gefährden außerdem die Stellung der Nachbarzähne. Haben diese Zähne keinen angrenzenden Zahn mehr, können sie in die Zahnlücke hineinkippen, was zu einer Störung der Verzahnung führt.
Regelmäßige Zahnpflege ist ebenso wichtig und notwendig wie halbjährliche Kontrollen beim Zahnarzt. Leider können einzelne Zähne trotz allem nicht immer gerettet werden.