Keramik Veneers

Hightech Keramik Veneers sind die beliebteste und schnellste Lösung für ein strahlenderes, weißeres Lächeln. Wir verwenden Hightech Verblendschalen aus deutschen Labors, um die höchstmögliche Qualität zu gewährleisten.

Hochästhetische Veneers

Veneers (Verblendschalen)

Sie können die Form und Position Ihrer Zähne idealisieren und ihre Farbe auf eine Helligkeit optimieren, die nicht nur durch Bleichen erreicht werden kann. Die Dentalindustrie entwickelt sich schnell - es werden ständig neue und innovative Techniken entwickelt. Anstatt unsere Zahnbehandlungen nur auf den Preis zu stützen, wählt Dr. Nadine Hotz die effektivsten und langlebigsten Lösungen aus und bietet sie an. Dies ist definitiv die wirtschaftlichste langfristige Option.

Laser

Unsere deutsche Zahnäztin Dr Nadine Hotz verwendet einen speziellen Laser für die Platzierung der Veneers. Mit dem Laser ist es nicht erforderlich, die Zahnsubstanz zu reduzieren. Die Zähne können sogar ohne Betäubungsinjektionen behandelt werden. Das Ergebnis ist eine höhere Stabilität und ein lang anhaltendes Ergebnis.

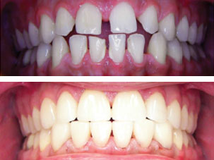
Hightech-Keramikveneers

Für viele Zahnarztpatienten ist neben der Funktionalität die ästhetische Komponente der wichtigste Faktor. Hier zeichnen sich die Hightech-Keramikveneers im Vergleich zu anderen Verblendschalen aus. Hightech-Keramikveneers imitieren die natürlichen Schichten des Zahns mit seinen mehr und weniger durchscheinenden Teilen. Andere Veneers werden aus einem Keramikblock geschnitten, anstatt einzeln geschichtet zu werden. Sie sind nur übermalt und sehen im Vergleich zu Hightech Verblendschalen künstlich und gelb aus. Mit individuell geschichteten Hightech-Veneers behandelt, erscheinen die Zähne in natürlicher Perfektion und sehen weder bedeckt noch künstlich aus.

Material

Die meisten Zahnarztpatienten glauben, dass Zirkon das beste Material für Veneers ist. Zirkon eignet sich sehr gut für Kronen im Funktionsbereich der Prämolaren und Molaren. In der Region mit den Frontzähnen sieht Emax-Keramik jedoch wesentlich natürlicher aus und ist besser an die Bedürfnisse dieses Bereichs angepasst. Neben Keramikveneers können sich Patienten für die wirtschaftlicheren Direkt Veneers entscheiden, die aus hochwertigem, laser optimiertem Komposit bestehen. Unsere Hightech Keramik Verblendschalen behalten ihre Farbe und Form und halten den Test der Zeit aus.

Dauer der Behandlung

Hightech-Keramik Verblendschalen können in nur zwei Terminen platziert werden. Die Behandlung ist schnell und komfortabel. Beim ersten Termin werden Abdrücke und Farbtöne für die Herstellung der Verblendschalen genommen. Beim zweiten Termin werden die Zähne mit dem Laser präpariert und die Veneers einzeln platziert.

Ideale Platzierung

Um eine schnellere Platzierung zu ermöglichen, werden Veneers häufig gleichzeitig mithilfe einer Schablone platziert. Der unerwünschte Nebeneffekt ist, dass die Zahnzwischenräume (Interdentalräume) vollständig mit dem Befestigungszement gefüllt sind, was das Reinigen Ihrer Zähne zu Hause fast unmöglich macht. Das Ergebnis ist eine Verdunkelung der Zahnzwischenräume im Laufe der Zeit, Hohlräume, parodontale Probleme und Plaqueakkumulation. Mit einer Einzelplatzierung kann dieses Problem vollständig vermieden werden.

Garantie

Dr. Nadine Hotz M.Sc. gewährt Ihnen zwei Jahre Garantie auf Keramik Veneers. Die gleiche Garantie gilt für alle anderen prothetischen Arbeiten, einschließlich Kronen, Brücken und Prothesen.

Für weitere Informationen über Veeners oder um einen Termin zu vereinbaren, zögern Sie bitte nicht, uns zu kontaktieren!